Javascript required
Skip to content Skip to sidebar Skip to footer

Picture of Different Diseases That From Smoking

Smoking cigarettes will kill you, but before you die, you could experience some pretty terrible diseases and health conditions from smoking. Here are some of the most gruesome diseases caused by smoking*:

1. Lung Cancer

More people die from lung cancer than any other type of cancer. Cigarette smoking is the number one risk factor for lung cancer; it's responsible for 87% of lung cancer deaths. Your chance of still being alive five years after being diagnosed is less than 1 in 5.

lung x-ray

2. COPD (chronic obstructive pulmonary disease)

COPD is an obstructive lung disease that makes it hard to breathe. It causes serious long-term disability and early death. COPD starts by making it hard to be active, such as playing with a grandchild, then usually gets worse, until climbing a short set of stairs or even walking to get the mail is exhausting or impossible. It can leave people stuck in their homes, unable to do the things they want or see friends. About 80% of all COPD is caused by cigarette smoking. COPD is the fourth leading cause of death in the United States.

nebulizer for copd

3. Heart Disease

Smoking harms nearly every organ in your body, including your heart. Smoking can cause blockages and narrowing in your arteries, which means less blood and oxygen flow to your heart. When cigarette consumption in the U.S. decreased, so did the rates of heart disease. Yet, heart disease remains the number one cause of death in the U.S.

heart disease

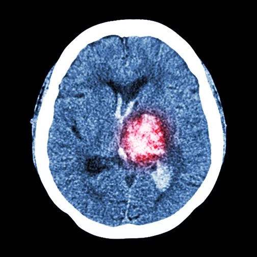
4. Stroke

Because smoking affects your arteries, it can trigger stroke. A stroke happens when the blood supply to your brain is temporarily blocked. Brain cells are deprived of oxygen and start to die. A stroke can cause paralysis, slurred speech, altered brain function and death. Stroke is the fifth leading cause of death in the United States and a leading cause of adult disability.

brain scan stroke

5. Asthma

Asthma is a chronic lung disease that makes it harder to move air in and out of your lungs—otherwise known as "breathing." Because cigarette smoke irritates air passages, it can trigger sudden and severe asthma attacks. Asthma is a serious health condition that affects close to 25 million Americans. Smoking only makes it worse.

nebulizer for asthma

6. Reproductive Effects in Women

Smoking can cause ectopic pregnancy in women, which is when a fertilized egg implants somewhere other than the uterus. The egg can't survive and, if left untreated, can be life-threatening for the mother. Smoking also causes reduced fertility, meaning it makes it more difficult to get pregnant.

reproductive effects in females

7. Premature, Low Birth-Weight Babies

The effects of smoking not only impact mom's health, but also that of her baby. Smoking while pregnant can cause babies to be born prematurely and/or with a low birth-weight. Babies born too early or too small have increased risk of health complications and even death.

8. Diabetes

You're more likely to get type 2 diabetes if you smoke. The risk of developing type 2 diabetes is 30 to 40% higher for smokers than non-smokers. Additionally, smoking increases the risk of complications once diagnosed with diabetes, such as heart and kidney disease, poor blood flow to legs and feet (which leads to infections and possible amputation), blindness and nerve damage.

diabetes

9. Blindness, Cataracts and Age-Related Macular Degeneration

Smoking can make you go blind. It damages your eyes and can result in vision loss. Age-related macular degeneration is caused by smoking. It is the leading cause of blindness in adults ages 65 and older.

Blindness

10. Over 10 Other Types of Cancer, Including Colon, Cervix, Liver, Stomach and Pancreatic Cancer

Basically, all the cancers. For both cancer patients and survivors, those who smoke are more likely to develop a second primary cancer. And now we know that smoking causes at least a dozen cancers, including liver and colorectal, and reduces the survival rates for prostate cancer patients.

lung cancer patient

Page last updated: January 27, 2021

Picture of Different Diseases That From Smoking

Source: https://www.lung.org/research/sotc/by-the-numbers/10-worst-diseases-smoking-causes